薇琳(宁波)医疗美容医院位于交通便利的百丈东路936号,拥有上万平米的星级诊疗服务面积,高档的设施环境和专业的品质服务,使薇琳(宁波)迅速在赢得爱美人士的青睐。浸染海港地域特色的宁波薇琳,从环境、管理到服务都形成了属于自己的特色和风格。
为满足当地爱美名媛、明星和社会精英人士的求美需求,薇琳(宁波) 致力于整形美容管理、医学美肤管理、无创注射管理和口腔美容管理等领域的匠心运作,保证审美趋势和服务品质的与时俱进。
为此,薇琳(宁波)不断引入世界同步的顶尖医美技术、设备及高端定制服务,邀请权威国际专家常驻院内,并时常开展国际学术交流会,为专家团队和各界求美人士不断提供学习和进步的机会。
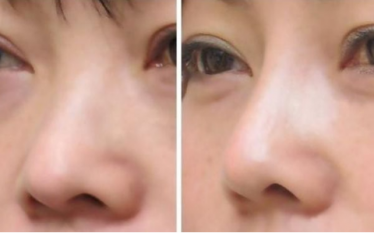
一个小巧又精致的鼻子是很多人都希望拥有的,尤其是对女孩子来说鼻子更加重要。小巧精致的鼻子可以让一个女孩子看起来非常的漂亮,像个小淑女一样。而有些鼻子比较大的人看起来就有些滑稽了,就像喜剧里的小丑先生一样鼻子非常大,让人一眼就看到他的鼻子了从而忽略了其他器官的存在,就像是整个面部只剩下鼻子一样。鼻头比较大的原因就是因为鼻孔有些大了,所以想要让鼻子变的美观便只需要做缩小鼻孔手术就可以了。也有不少爱美者想要知道在宁波做鼻孔缩小在哪里做比较好。选择一个比较正规的三甲整形医院进行鼻头缩小术效果是比较好的。这样不仅能够保证手术的效果还能够保证安全性。

鼻孔整形的手术方法目前主要有膨体,自体脂肪填充,注射等等,具体的是因人而异的。但是不管哪种方法,护理都是很重要的。术后,医生会在有切口的鼻孔填塞一块小纱布,目的是压迫伤口减轻疼痛,防止细菌进入。手术切口的鼻孔内可能会有少许血性液体流出,可用消毒棉纤轻轻擦去,不可用没有消毒的东西接触伤口,以免污染。24小时内可以多冷敷,有利于减轻肿胀。建议一定要选择正规的整形医院进行医治。
宁波整形医院:https://www.nbrd1997.com/
宁波整形医院哪家好:https://www.nbrd1997.com/
本文地址:https://www.zscntv.cn/redream/2675.html
